Ya sea Bad Bunny, J Balvin o Maluma, no importa. Un estudio realizado por científicos en Islas Canarias, reveló que el reguetón produce una mayor actividad cerebral que cualquier otro género musical.
La tesis doctoral del neurocirujano Jesús Martín-Fernández, del Hospital Universitario Nuestra Señora de la Candelaria de Santa Cruz de Tenerife, ha sido la responsable de llevar a cabo el estudio sobre las reacciones cerebrales al escuchar diferentes estilos de música. Un proyecto que surgió con la idea de ligar sus dos pasiones, el cerebro y la música.
Para ello, contaron con la ayuda de 28 personas sin ningún tipo de formación musical previa y con gustos musicales muy variados, sometiéndolos primero a pruebas de oído para medir la capacidad musical, de discriminar melodías y de frases rítmicas de cada uno de ellos.

Después se sometió a las personas a una resonancia magnética funcional mientras escuchaban diferentes tipos y estilos de música sin letra, para estudiar de la manera más pura posible el procesamiento de la música. De no ser así, el lenguaje podría causar actividad cerebral, pero empleando otras vías que no son las de la música.
Algunos de los clips musicales que se emplearon fueron en reguetón “Shaky” de Daddy Yankee y “Ginza” de J Balvin; en electrónica “Passion” de Alberto Feria y “L’amour toujours” de Dzeko, en clásica el concierto en mi menor de Vivaldi y el minué de los aires en re de Luis Cobiella, y en folclore folías y malagueñas canarias.
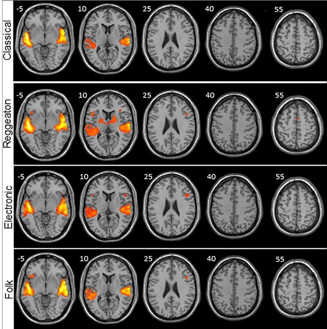
Los investigadores analizaron el cerebro de cada participante anatómicamente y después la señal Bold, que es la que muestra qué áreas del cerebro reciben oxígeno y qué es lo que pasa cuando se activan las diferentes áreas.
Tras poner música electrónica, clásica, folch y reguetón, el resultado fue increíble. El género urbano fue el estilo musical que activó más áreas del cerebro, tanto las auditivas, como las que procesan el sonido, las motoras y las de movimiento. Según explica Martín-Fernández
"Es como si el reguetón, con este ritmo peculiar y repetitivo, nos preparara para el movimiento, para bailar sólo de escucharlo", asegurando que este estilo musical utiliza los acuerdos de una manera predecible.
por ahí va https://t.co/3lxqdqIPp8
— ???? (@sanbenito) November 3, 2020
"Lo que más nos llamó la atención fue que activaba una región primitiva del cerebro: los ganglios basales", y añade que "Son grupos de neuronas que están en zonas profundas del cerebro y que se encargan de modular la postura, de empezar y terminar un movimiento además de estar involucrados en el sistema de recompensa o placer".
Con estos resultados se abre una puerta a investigar más, tanto sobre la música y su procesamiento global en el cerebro como en ver cómo afecta este mismo experimento a pacientes con enfermedades neurodegenerativas como el Párkinson, indica el investigador, quien destaca que este estudio es el primero en la literatura científica que compara al reggaetón y la música clásica y por ello hay que esperar a continuar la investigación.
DAG